Ein Ultraschalltermin in der Schwangerschaft birgt für viele werdende Eltern eine Mischung aus Neugier und Anspannung. Dieser Artikel erklärt ausführlich, was beim strukturellen Organscreening geschieht, warum es sinnvoll ist und wie die Ergebnisse zu verstehen sind.
Was ist das Organscreening und wann findet es statt?
Das Organscreening, oft als „Feinultraschall“ bezeichnet, ist eine gründliche sonografische Untersuchung des ungeborenen Kindes. In Deutschland wird sie in der Regel zwischen der 19. und 22. Schwangerschaftswoche angeboten, weil dann viele Strukturen gut sichtbar sind.
Anders als die Basisuntersuchungen dient das Screening nicht primär der Messung von Wachstum, sondern der gezielten Darstellung von Organen und Körperstrukturen. Ziel ist, Auffälligkeiten früh zu erkennen und geplante Schritte zur weiteren Abklärung zu ermöglichen.
Warum ist die Untersuchung wichtig?

Ein organisiertes Screening erhöht die Chance, wichtige Fehlbildungen frühzeitig zu erkennen, sodass Eltern und Ärztinnen Entscheidungen treffen können. Manche Veränderungen erfordern keine unmittelbare Therapie vor der Geburt, andere wiederum beeinflussen die Geburtsplanung oder benötigen kurz nach der Geburt sofortige Versorgung.
Früherkennung schafft zudem Zeit für klärende Untersuchungen, fachliche Aufklärung und gegebenenfalls psychosoziale Begleitung. So können sich Familien besser auf mögliche Szenarien einstellen und notwendige Spezialisten vorab einbinden.
Wie läuft der Termin ab?
Der Ablauf ist routiniert, aber intensiv: Nach kurzem Gespräch zur Anamnese folgt die sonografische Untersuchung, die je nach Lage des Kindes 20 bis 45 Minuten dauern kann. Die Untersucherin oder der Untersucher dokumentiert standardisierte Schnittbilder und kommentiert Befunde in der Regel während der Untersuchung.
Teilnehmende Eltern bekommen oft Bilder oder eine CD mit Aufnahmen, je nach Praxisstandard. Am Ende erklärt die Ärztin die wichtigsten Beobachtungen; bei unklaren Befunden werden in der Regel weitere Maßnahmen besprochen.
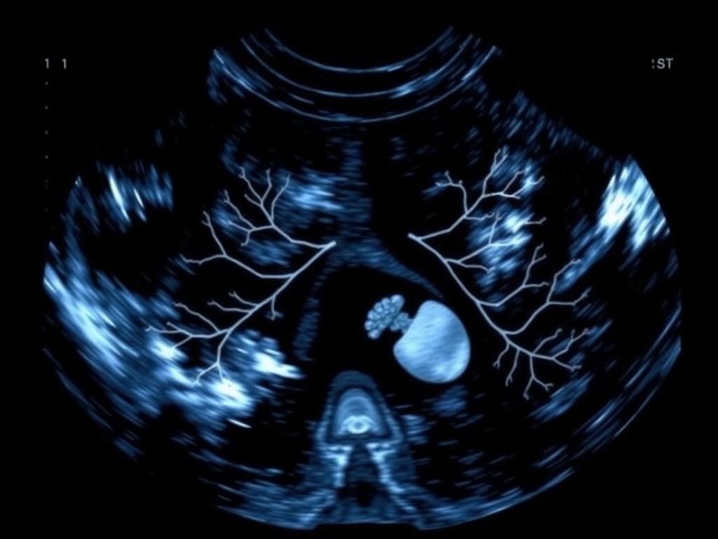
Welche Organe und Strukturen werden kontrolliert?
Beim Screening werden viele Bereiche systematisch durchgegangen: Gehirn, Herz, Wirbelsäule, Gesicht, Bauchwand, Magen, Nieren, Harnblase, Extremitäten, Plazenta und Versorgung durch die Nabelschnur. Auch die Menge des Fruchtwassers gehört zur Beurteilung.
Die Darstellung erfolgt nach definierten Richtlinien, damit Auffälligkeiten erkannt und dokumentiert werden können. Manche Organe sind besser zu beurteilen als andere; hier spielen Lage, Bewegungen des Kindes und mütterliche Faktoren eine Rolle.
Tabelle: Was wird geprüft und warum
| Organ/Struktur | Typische Prüfungen | Bedeutung bei Auffälligkeit |
|---|---|---|
| Gehirn | Schädelkontur, Hirnkammern, Mittellinie | Hinweis auf Hydrozephalus, Fehlbildungen der Hirnstrukturen |
| Herz | Vierkammerblick, Ausflüsse, Herzrhythmus | Hinweise auf Herzfehler, Rhythmusstörungen |
| Wirbelsäule | kontinuierliche Wirbelsäule, Rückenmark | Spina bifida und andere Neuralrohrdefekte |
| Gesicht | Lippen, Kiefer | Spaltbildungen |
| Bauchwand / Magen | Intakte Bauchwand, sichtbarer Magen | Fehlbildungen des Verdauungstrakts |
| Nieren / Harnblase | Beide Nieren sichtbar, Harnblase gefüllt | Hydronephrose, Harnabflussstörungen |
| Extremitäten | Anzahl und Beweglichkeit der Gliedmaßen | Fehlbildungen der Gliedmaßen |
| Plazenta / Nabelschnur | Lage der Plazenta, Ein- und Austritt der Gefäße | Plazentationsstörungen, Gefäßanomalien |
Was die Darstellung beeinflusst
Mehrere Faktoren begrenzen die Sichtbarkeit: kindliche Lage, schmale Fruchtwassermenge, mütterliche Konstitution und Vernarbungen nach Operationen. Auch das Alter der Schwangeren spielt nur indirekt eine Rolle; die Bildqualität hängt mehr von den genannten technischen und biologischen Faktoren ab.
Deshalb sind manche Untersuchungen nicht in jedem Fall vollständig möglich, und Nachkontrollen können notwendig werden. Die Untersuchenden geben normalerweise an, ob eine komplette Beurteilung gelungen ist oder welche Bereiche unzureichend sichtbar blieben.
Wer führt das Screening durch?
Das Organscreening kann von Frauenärztinnen und -ärzten oder speziellen Pränatalzentren durchgeführt werden. In Deutschland existieren Qualitätsstandards und Weiterbildungen, die sicherstellen sollen, dass die Untersucherinnen über die nötige Erfahrung verfügen.
Bei komplexen Fragestellungen erfolgt häufig eine Überweisung an ein Zentren mit spezieller Expertise, etwa fetale Echokardiographie oder pränataldiagnostische Abteilungen. Dort arbeiten Sonografinnen, Perinatologinnen und Neonatologinnen enger zusammen.
Ergebnisse: Was bedeuten Befunde konkret?
Ein normales Ergebnis wird meist mit Worten wie „keine sichtbaren Auffälligkeiten“ oder „strukturell unauffällig“ beschrieben. Das bedeutet nicht, dass alle seltenen oder funktionellen Störungen ausgeschlossen sind, aber viele größere Fehlbildungen sind mit großer Wahrscheinlichkeit nicht vorhanden.
Bei Auffälligkeiten reicht die Bandbreite von kleinen, wenig relevanten Varianten bis zu schweren Fehlbildungen. Jeder auffällige Befund wird in der Regel näher besprochen und gegebenenfalls durch zusätzliche Untersuchungen abgeklärt.
Fehlalarme und Grenzen: Die Statistik hinter dem Bild
Ultraschall bietet exzellente Informationen, ist aber nicht perfekt: Es gibt falsch-positive Befunde, bei denen später keine Erkrankung bestätigt wird, und falsch-negative Fälle, bei denen eine Störung nicht erkannt wird. Die Empfindlichkeit variiert mit dem betroffenen Organ und der Erfahrung der Untersucherinnen.
Bei Auffälligkeiten sind Zusatztests wie die fetale Echokardiographie, pränatale Magnetresonanztomographie (MRT) oder invasive Tests zur Diagnoseverifizierung möglich. Solche Schritte folgen einem strukturierten Abklärungsweg, um Fehldiagnosen zu minimieren.
Weitere Tests nach auffälligem Befund
Je nach Fragestellung kommen verschiedene Optionen in Betracht: detaillierte Ultraschalluntersuchungen, pränatale kardiologische Expertise, genetische Abklärungen mittels Chorionzottenbiopsie oder Amniozentese und pränatales MRT. Jede Maßnahme hat spezifische Indikationen und Risiken, die mit den Eltern besprochen werden.
Genetische Tests liefern Informationen über chromosomale Veränderungen, erklären aber nicht alle strukturellen Auffälligkeiten. Oft ist eine interdisziplinäre Fallbesprechung sinnvoll, um die beste Vorgehensweise individuell zu planen.
Emotionale Reaktionen und Begleitung
Ein unauffälliger Befund löst Erleichterung aus, während ein unklarer oder auffälliger Befund Unsicherheit und Angst erzeugen kann. In solchen Momenten ist gute Kommunikation entscheidend: klare Informationen, Raum für Fragen und ein Plan für das weitere Vorgehen mindern Ängste.
Als Autor habe ich erlebt, wie sehr verständnisvolle Worte und ein strukturierter Plan Eltern helfen. In einem Fall etwa klärte ein erneuter Spezialultraschall eine initiale Unklarheit, und die betroffenen Eltern konnten gestärkt in die nächsten Wochen gehen.
Rechtliche und organisatorische Aspekte in Deutschland
In Deutschland gehört das organspezifische Screening zu den regulären pränatalen Untersuchungen und wird von den gesetzlichen Krankenkassen in bestimmten Fällen erstattet. Es gibt klare Richtlinien, welche Untersuchungssequenzen standardmäßig erfolgen sollten.
Wichtig ist die informierte Einwilligung: Schwangere sollten vor der Untersuchung über Zweck, Ablauf, mögliche Ergebnisse und Grenzen aufgeklärt werden. Dokumentation und Überweisungspfade müssen transparent sein, damit bei Auffälligkeiten zügig gehandelt werden kann.
Wie verlässlich sind Aussagen zu Prognosen?
Die Aussagekraft des Ultraschalls bezüglich Prognosen variiert je nach Befund. Manche strukturellen Veränderungen lassen sich relativ gut einschätzen, andere bieten nur eine grobe Orientierung, weil Funktion, Begleitbefunde und genetische Faktoren mitspielen.
Deswegen begegnen Fachleute diagnostischen Prognosen vorsichtig und sprechen lieber von Wahrscheinlichkeiten als von festen Vorhersagen. Interdisziplinäre Beratung kann helfen, realistische Erwartungen zu formulieren.
Was Eltern vorbereiten können
Zur Vorbereitung gehört, Fragen zu notieren, Vorbefunde und bisherigen Verlauf bereitzuhalten und ausreichend Zeit für den Termin einzuplanen. Wer emotionale Unterstützung braucht, kann eine Begleitperson mitnehmen, sofern die Praxis dies erlaubt.
Manche Eltern finden es nützlich, vorher etwas zu essen und zu trinken, damit die Untersucherin bei Bedarf bestimmte kindliche Bewegungen provozieren kann. Genaue Hinweise gibt die betreuende Praxis.
Typische Missverständnisse
Ein weit verbreitetes Missverständnis ist, der Ultraschall könne alle genetischen Erkrankungen ausschließen. Das ist nicht der Fall; viele genetische Varianten haben keine sichtbaren strukturellen Folgen oder erst später im Leben. Daher ersetzen bildgebende Verfahren nicht immer genetische Tests.
Ein weiteres Missverständnis betrifft die Aussage „alles in Ordnung“: Sie bezieht sich meist auf das Sichtbare in diesem Untersuchungszeitpunkt und gilt nicht als Garantie für die gesamte Schwangerschaft oder für spätere Entwicklungsschritte.
Technische Entwicklungen und Perspektiven

Die Technik der pränatalen Bildgebung entwickelt sich kontinuierlich: höhere Auflösung, 3D/4D-Darstellungen und kombinierte Verfahren verbessern die Diagnostik. Ergänzend kommen bessere Algorithmen zur Bildanalyse und Telemedizinlösungen für Zweitmeinungen.
Trotz Fortschritten bleibt der Schlüssel die Erfahrung der Untersucherinnen und die interdisziplinäre Zusammenarbeit. Technik erleichtert die Sicht, ersetzt aber nicht die klinische Einschätzung.
Wann ist eine Zweitmeinung sinnvoll?
Bei unklaren oder schwerwiegenden Befunden kann eine Zweitmeinung in einem spezialisierten Zentrum sinnvoll sein. Dort stehen oft weitere Experten und ergänzende Untersuchungsmethoden zur Verfügung, die die Diagnosepräzision erhöhen.
Eltern haben das Recht, eine Überweisung zu verlangen oder eine zweite Meinung einzuholen; dies sollte offen und ohne Zeitdruck möglich sein. Gute Zentren bieten zudem psychosoziale Unterstützung an.
Praktische Tipps für den Termin

- Notieren Sie vorher Fragen und bringen Sie bereits vorhandene Befundunterlagen mit.
- Planen Sie ausreichend Zeit ein; lassen Sie sich nicht unter Druck setzen, schnelle Entscheidungen zu treffen.
- Bitten Sie um klare Sprache: medizinische Begriffe sollten erklärt werden.
- Erkundigen Sie sich nach weiteren Schritten, falls ein Befund unklar ist.
Persönliche Beobachtungen aus der Praxis
In meiner journalistischen Begleitung mehrerer Schwangeren fiel mir auf, wie wichtig der Ton der Ärztin oder des Arztes ist. Ein ruhiges, sachliches Gespräch nach einem unklaren Befund schafft oft mehr Vertrauen als übertriebene Beruhigung oder technische Erklärungen ohne Kontext.
Bei einem Termin konnte eine erfahrene Sonografin durch einen anderen Schnittwinkel eine vermeintliche Auffälligkeit entkräften, was die Bedeutung von Erfahrung und Sorgfalt unterstrich. Solche Begegnungen bleiben eindrücklich.
Mythen über den Ultraschall
Ein verbreiteter Mythos ist, Ultraschall mache dem Kind „Schaden“. Zahlreiche Studien unterstützen die Sicherheit diagnostischer Ultraschalluntersuchungen bei sachgemäßer Anwendung, wobei unnötige oder überlange Einsätze vermieden werden sollten. Die Untersuchung erfolgt nach klaren Leitlinien.
Ein weiterer Irrtum ist, dass 3D-Bilder notwendigerweise aussagekräftiger sind als klassische 2D-Aufnahmen; oft sind 2D-Darstellungen für die Diagnostik ausreichender und aussagekräftiger.
Welche Fragen Sie stellen sollten
Wichtige Fragen sind: Welche Strukturen konnten vollständig beurteilt werden? Gab es Auffälligkeiten und wie wahrscheinlich sind postoperative oder genetische Ursachen? Welche weiteren Schritte empfehlen Sie und warum?
Fragen zur Erfahrung der Untersucherin, zur Notwendigkeit weiterer Tests und zu Zeitrahmen helfen, Unsicherheit zu reduzieren und Entscheidungen fundiert zu treffen.
Zum Abschluss: wie Sie den Termin nutzen können
Das organorientierte Screening ist ein Angebot mit großem Informationswert, aber auch mit klaren Grenzen. Nutzen Sie den Termin, um informiert zu werden, Fragen zu stellen und gegebenenfalls einen Plan für weitere Abklärungen zu erhalten.
Die meisten Eltern erleben den Ultraschall als wichtigen Orientierungspunkt in der Schwangerschaft. Mit guten Informationen, klarer Kommunikation und der Möglichkeit zur Weiterverweisung lässt sich die Zeit nach dem Screening konstruktiv gestalten.

Wenn mehr Vorsicht gefragt ist: Risiken in der Schwangerschaft verstehen
Sanft unterwegs: entspannende Yogaübungen für die Schwangerschaft
Bewegen für zwei: sicher, klug und mit Freude durch die Schwangerschaft